Advertisement
The Body: The Complete HIV/AIDS Resource Follow Us Follow Us on Facebook Follow Us on Twitter
Professionals >> Visit The Body PROThe Body en Espanol
  
  • Email Email
  • Printable Single-Page Print-Friendly
  • Glossary Glossary
  • PDF PDF

Herpes Suppression: It All Seemed So Simple

September 2007

The connection between chronic genital herpes (HSV-2) and HIV risk has grown ever stronger. A 2006 meta-analysis of previous studies noted that preexisting HSV-2 infection tripled the risk of acquiring HIV in men and women generally (Freeman et al. AIDS 2006). (For gay men, the added risk seemed somewhat lower, while studies in female sex workers were ambiguous.) A new study (Brown et al. AIDS 2007) published at the time of the conferences calculated that 42% of the HIV contracted by Ugandan women and 65% of that contracted by Zimbabwean women could have been avoided in the absence of HSV-2.

There is a strong biological rationale that genital ulcers open a portal through the protective outer mucosal layers, These inflammatory zones, in addition, contain a concentration of the types of immune cells infected by HIV (see, for example, Donaghy et al. IAS 2007 abstract MOPEA091). The reverse is also quite likely true: genital herpes coinfection can increase infectiousness of persons who already have HIV. University of Washington researchers reported two years ago that genital tract HIV levels increased during periods of HSV-2 reactivation and were related to the quantity of herpes virus present (Baeten et al. JID 2005). At ISSTDR, the same group reported on the effect of the anti-herpes drug valacyclovir on 20 otherwise untreated Peruvian HIV positive women. Both plasma and cervical HIV levels were moderately lower than in women taking placebo, by 45% and 56%, respectively (Baeten et al. ISSTDR 2007 abstract O-096). A study of 136 HIV positive Burkina Faso women published similar results earlier this year (Nagot et al. NEJM 2007).

At ISSTDR, the HIM (Health in Men) gay male cohort from Sydney led off the conference with unsettling findings (Fengyi et al. ISSTDR 2007 abstract O-001). HIM observed a significant association between HSV-1 and HIV infection, but not between HSV-2 and HIV. HSV-1 generally causes cold sores and can also infect the genital and anal regions. HSV-1 infection is often associated with oral sex. In contrast with HSV-2, anogenital HSV-1 is usually self-limiting. Nonetheless, its role in genital ulcer disease is thought to be growing, especially in such populations as MSM and college students (Xu et al. JAMA 2006; Lafferty et al. JID 2000; Roberts et al. Sex Trans Dis 2003)

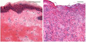
Stained Biopsies of Normal Skin (left) and Herpes Lesion (Right)


The herpes lesion biopsy shows a loss of the outer skin layer and invasion by immune cells.
Source: Zhu, J. et al. J. Exp. Med. 2007;204:595-603

Advertisement
The accumulation of STDs in high-risk populations may confuse the observed associations. Still, the HIM results imply that you have to test for and treat HSV-1 as well as HSV-2 (not to mention other STDs) to have an effect on HIV transmission. Fortunately, the same drugs attack both types of herpes. The big surprise this summer emerged from the initial large studies of herpes suppression, in both HIV positive and HIV negative women from northern Tanzania. Both studies involved acyclovir, an older, much cheaper version of valacyclovir. The HIV negative study is the first to test whether a continuous anti-herpes regimen would reduce the likelihood of contracting HIV in people already infected with genital herpes (Watson-Jones et al. ISSTDR 2007 abstract O-100). The answer from this study was no: among the 821 women enrolled, the rate of contracting HIV was practically the same whether they received acyclovir (400 mg twice a day) or placebo (above 4 per 100 person-years).

Only about half the trial participants faithfully took their assigned medication, however. When considering just those who took more than 90% of their pills, the acyclovir recipients had a markedly lower HIV incidence rate compared to the women on placebo, 2.5 versus 4.3 per 100 person-years. But there weren't enough HIV cases within this subpopulation to make the results statistically significant.

Even more surprising were the findings from the accompanying cohort of 383 HIV+/HSV-2+ coinfected women (Tanton et al. ISSTDR 2007 abstract O-99). Here, daily acyclovir showed no significant benefit over placebo in reducing levels of either genital HIV or genital HSV-2. Again, only about half the cohort took more than 90% of their assigned pills. It would seem that a more potent herpes medication is called for. (The HSV-2 results were not reported for the HIV negative trial.) Certainly, better adherence to the medication schedule is necessary.

The need for successful, continual HSV-2 suppression to protect against HIV transmission was stressed by another report at ISSTDR (Mark et al. ISSTDR 2007 abstract O-30). Twenty-five HSV-2+ adults had their genital secretions checked four times a day for 60 days. HSV-2 was detectable on 20% of the days, representing 1.5 reactivations per month. More than half of these reactivations were asymptomatic and lasted less than 12 hours

The United States National Institutes of Health, meanwhile, is sponsoring a much larger multinational trial (in the U.S., Peru and southern Africa) comparing acyclovir with placebo in nearly 3,000 HIV-, HSV-2+ women and gay men. The trial's main goal is to see whether acyclovir reduces HIV acquisition, but it will also check on medication adherence and HSV-2 suppression. The chances of statistically significant results are enhanced by the larger trial population, which greatly helps to break down the results by adherence. There's a chance that the trial will confirm that acyclovir is not the right drug for this task. The results will not be available for another two to three years.

Summary of HIV Prevention Trial Results

Trial New HIV infection ratio
(95% confidence interval)*, intervention vs. placebo
HSV-2 suppression, daily acyclovir vs. placebo 1.12 (0.7-1.9)
HSV-2 suppression, participants with 90+% adherence 0.58 (0.3-1.4)
Diaphragm plus condoms vs. condoms alone 1.05 (0.84-1.32)
Diaphragm vs. condoms, no condom use in the 3 months prior to study entry 0.74 (0.46-1.19)
Microbicide, cellulose sulfate vs. placebo gel (CONRAD) 2.17 (1.06-4.45)
Microbicide, cellulose sulfate vs. placebo gel (FHI) 0.9 (0.3-2.5)
*The 95% confidence ratio (95% CI) is in parentheses. The infection ratio indicates the extent to which the trials' active agents block (rate ratio less than 1.0) or promote (rate ratio above 1.0) HIV transmission. The 95% CI is the range within which the ratios are likely to occur 95% of the time, due to the impact of chance fluctuations. If that range crosses 1.0, then the result is not considered statistically significant. The greater number of people in a trial, the narrower the 95% CI, and the more trustworthy the observed results.

Back to September 2007 issue of HHS Watch



  
  • Email Email
  • Printable Single-Page Print-Friendly
  • Glossary Glossary
  • PDF PDF

This article was provided by Community HIV/AIDS Mobilization Project. It is a part of the publication HHS Watch.
 
See Also
Herpes & HIV Connection

Tools
 

Advertisement